아래 연락처를 남겨 주시면 상담원이 전화로 친절하게 상담을 도와 드립니다. 빠른 시간 내에 전화 드리도록 하겠습니다.
개인정보취급방침 동의 [자세히보기]
서울대 의학박사,교정전문의 대표원장이 직접 진료합니다
동의합니다동의하지 않습니다
의료법 제 56조에 따라 진료 후기 열람은 홈페이지의 회원일 경우에만 가능합니다.
이에 저희 병원의 홈페이지에서는 임시 아이디 신청 후 이용가능하시며, 진료후기 열람에만 사용이 되어 다른 용도로는 이용이 되지 않습니다. 진료후기 열람을 원하시는 고객님께서는 임시로 사용할 아이디를 입력하시고 동의합니다 버튼을 클릭하세요. 원하지 않는 분들은 동의하지 않습니다 버튼을 클릭하시기 바랍니다.
* 의료법상 불가피한 부분이니 양해 부탁드립니다.
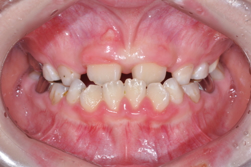
BEFORE & AFTER
치료후 사례보기 click
치료기간 : 1년 5개월 인비절라인을 통해 상,하악 악궁확장 및 치아배열, 영구치를 위한 공간 형성을 한 증례
바이오네이터 -> 2차교정 10세 (남)
치료 기간 : 8개월 9세 / 남
치료 기간 : 7개월 8세 / 남
치료 기간 : 1년 10세 / 여
치료 기간 : 1년 5개월 9세 / 남
치료 기간 : 5개월 8세 / 남
치료 기간 : 7개월
치료기간 : 2년 1개월
치료기간 : 1년 11개월