빠른 상담

아래 연락처를 남겨 주시면 상담원이 전화로 친절하게 상담을 도와 드립니다.
빠른 시간 내에 전화 드리도록 하겠습니다.

이름
연락처
문의내용

서울대 의학박사,교정전문의
대표원장이 직접 진료합니다

로고

NARANE PROSTHODONTIC CLINIC

자연치아를 최대한 보존하는무삭제 라미네이트

NARANE LAMINATE

치아 삭제 없이 라미네이트가 가능할까

무삭제 라미네이트

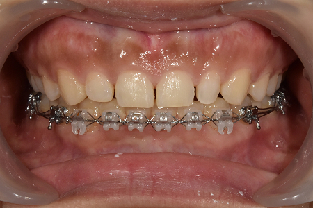
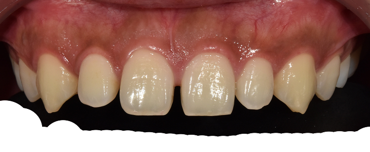
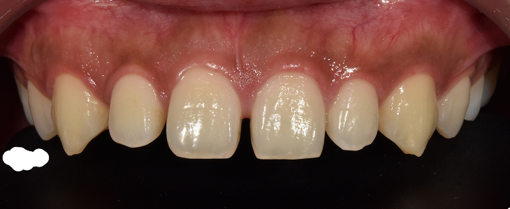
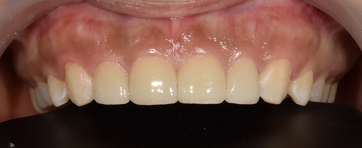
치료사례
  • BEFORE

  • AFTER

2025.08.16 ~ 2025.09.02

서울나란이치과에서는
치아를 삭제 하지 않는
무삭제 라미네이트 시술을 진행합니다

  • 치아 삭제 없이,
    자연치 그대로 보존
  • 원래 상태로 되돌릴 수 있는
    가역적 치료
  • 전문의의 섬세한 진단과
    기술이 핵심

무삭제 라미네이트 서울나란이를 선택해야 하는 이유

NARANE LAMINATE

정확한 진단과 보존 중심의 철학이 있는
치과만이 가능합니다
  • 1

    풍부한 임상 경험과 전문성

    서울대학교 치과대학을 우등으로 졸업하고,
    삼성서울병원 보철과에서 수련을 마친
    김은하 보철과 전문의가
    직접 진단과 디자인을 진행합니다.
    정확한 진단과 섬세한 설계로,
    삭제 없이도 자연스러운 변화를 이끌어냅니다.

  • 2

    치아 구조를 이해하는
    보철과 전문의의 설계력

    단순히 겉모습만 바꾸는 것이 아니라,
    치아의 기능과 형태,
    구조까지 고려한 정밀 설계를 통해
    삭제 없이도 밀착력 있고 안정된 결과를 만듭니다.

  • 3

    세라믹의 품질과 디자인 기술

    초정밀 기술로 제작된 얇은 세라믹을 활용해,
    자연치처럼 투명하고 자연스러운 광택을
    재현할 수 있습니다.
    이로 인해 치아를 깎지 않아도
    미적인 개선이 충분히 가능합니다.

  • 4

    환자 맞춤 디자인과 진료 철학

    김은하 원장은
    환자 한 분 한 분을 가족을 대하듯
    진심으로 진료합니다.
    과잉진료 없이 꼭 필요한 치료만을 제공하며,
    삭제 없는 라미네이트도 환자 상태에 맞는
    맞춤형 계획으로 진행됩니다.

라미네이트 치료 사례

NARANE LAMINATE

CASE 01
교정 후 무삭제 라미네이트

‘입이 살짝 들어가 보여서 교정도 하고
윗니를 좀더 이쁘게 만들고 싶어요’
  • BEFORE

  • AFTER

2022.10.18 ~ 2025.09.30

과개교합과 옥니 형태의 치아를 살짝 나오게
하는 동시에 윗니의 모양도 예쁘게 개선하고 싶어
서울나란이치과에 방문하셨습니다.

교합관계 안정화 및
예쁜 라미네이트 진행을 위한
상악 공간재배치 교정을
우선적으로 진행
하였습니다.
중간에 임신과 출산으로 인해
교정기간이 오래걸렸지만,
교정후 치아를 전혀 삭제하지 않는
무삭제라미네이트로 마무리
하였습니다.

  • 치료전
  • 치아교정 진행
  • 교정 후 무삭제라미네이트

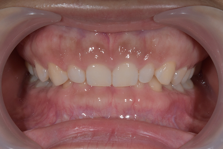
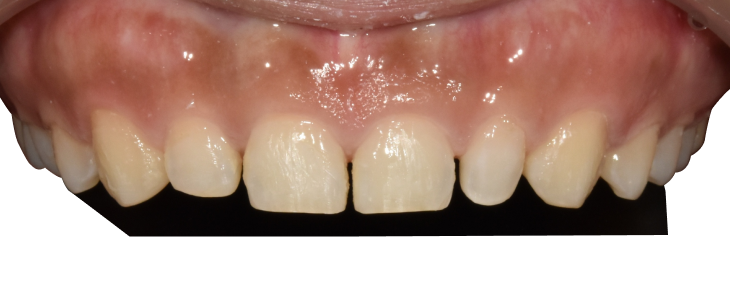
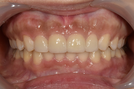
CASE 02
무삭제 라미네이트

‘치아가 너무 벌어지고
작아보여서 신경쓰여요’
  • BEFORE

  • AFTER

2025.08.16 ~ 2025.09.02

치아 사이가 전체적으로 벌어져 있어
웃을때마다 신경이 쓰이신다는 환자분입니다.
교정치료를 권유 드렸으나
라미네이트 치료만 진행을 원하셔서
무삭제로 라미네이트를 진행해 드렸습니다.

CASE 03
인비절라인 교정 + 라미네이트

‘심미적으로 예쁜 치아를 갖고 싶어요’
  • BEFORE

  • AFTER

2022.03.04 ~ 2025.04.25

이미 타 병원에서 라미네이트를 진행하였으나
만족감이 낮아 치아교정 + 라미네이트
추가 진행을 원하신 환자분입니다.

교정하는 기간동안 티가 나지 않는
인비절라인으로 비발치 교정

약 20개월간 진행하고
심미를 최대한 증진시키기 위해 잇몸 높이를
맞추는 치은절제술을 시행하였습니다.

그 후 기존 보철물을 제거한 후에
라미네이트로 마무리 하였습니다.

자연스러움 그 이상을 원한다면? 미세삭제 / 최소삭제 라미네이트

NARANE LAMINATE

무삭제 라미네이트만으로는
원하는 변화를 주기 어려울 때는,
미세삭제나 최소삭제 라미네이트로
좀 더 정교하게 디자인할 수 있습니다.
자연스러운 라인과 형태까지,
원하는 모양으로 정밀하게 완성해보세요!

무삭제 VS 미세삭제 VS 최소삭제

구분 서울나란이치과
무삭제 라미네이트
미세삭제 라미네이트 최소삭제 라미네이트
이미지
치아 방식 치아를 전혀 깎지 않고
붙이는 방식
필요한 부위만
정교하게 다듬는 방식
마취후 최소한의
양만을 삭제
마취,
임시치아 여부
마취나 임시치아가
필요하지 않음
마취나 임시치아가
필요하지 않음
마취나 임시치아가
필요할 수 있음
치아 삭제량 없음(0%) 약 0.1mm~0.3mm 최소한의 부위만 삭제
자연치 보존 ★★★★★ ★★★★☆ ★★★☆☆
치료 난이도 정밀 진단 필요 중간 이상 높음
치아가 작거나 안쪽으로
들어간 경우
치아 손상이
적은 경우
치열 불균형 등
다양한 경우
  • 공지사항 +

    3월 휴진안내문
    서울나란이치과 2원휴진안내
    서울나란이치과 1월 휴진안내문
    11월 휴진안내문
    10월 휴진안내문
  • 진료/상담 안내

    032.441.2858

    월 / 금 : 10:00 ~ 18:30
    화 / 수 : 13:00 ~ 20:30 (야간)
    토요일 : 9:30 ~ 15:00
    목요일, 일요일, 공휴일은 휴무입니다.

  • 찾아오시는 길

    인천광역시 남동구 인하로507번길 9
    하나빌딩 2층 202호

  • 서울나란이치과의 빠른 상담

인천광역시 남동구 인하로507번길 9 하나빌딩 2층 202호


의료기관명칭 : 서울나란이치과의원대표자 : 김광유

TEL : 032-441-2858 사업자등록번호 : 131-92-01050


COPYRIGHT © 2018 서울나란이치과. ALL RIGHTS RESERVED.