골격성 부정교합을 치료하는 수술교정
SURGERY ORTHODONTICS
치아에 문제가 있는 부정교합은 치아교정으로 치료합니다.
하지만, 턱뼈 자체의 위치, 크기, 비율 등에 문제가 있는 골격성 부정교합이 심할 경우
턱교정 수술(편약수술 또는 양악수술)을 동반한 수술교정 치료가 필요합니다.
양악 수술이 필요한 경우
SURGERY ORTHODONTICS
악교정 수술 Q&A
SURGERY ORTHODONTICS
-
악교정 수술 진행 과정은 어떻게 되나요?
우선 교정치과에 오셔서 교정만으로 치료가 가능한지,
수술과 함께 치료를 할지를 결정해야 합니다.
악교정 수술이 결정되면 술전교정, 수술병원 의뢰, 악교정 수술, 술후 교정 순서대로
진행됩니다.
-
악교정 수술시 교정병원 선택 고려사항은 어떻게 되나요?
안정성이 높은 수술병원과의 긴밀한 협진이 되어 있는 교정치과를 선택하셔야 합니다.
진단부터 수술병원과의 협진이 가능해야만 불필요하게 교정기간이 늘어나거나
수술 범위가 늘어나지 않습니다.
-
악교정 수술 안전한가요?
치과(구강외과, 교정과 협진)에서 세계 표준에 맞게 제대로 악교정 수술을 하게 되면 안전하게 치료할 수 있습니다.
수술 경험이 많은 전문의가 있는 병원에서 치료를 하면 더욱 신뢰있게 치료 받을 수 있습니다.
-
악교정 수술 많이 아픈가요?
입원 중에는 무통주사로, 퇴원후에는 처방전으로 받은 진통제를 경구 투약하기 때문에 통증은 잘 조절됩니다.
-
악교정 수술의 회복 기간은 얼마나 걸리나요?
수술한 다음 날부터 움직이는 것이 불편하지는 않습니다.
단, 입안으로 턱뼈를 수술하기 때문에 먹고, 말하는 것은 개인마다 차이가 있지만 2주~4주정도 불편하다고 보시면 됩니다.
-
얼굴 붓기는 언제 빠지나요?
얼굴 붓기도 개인마다 빠지는 정도가 다른데 통상 2주 정도면 외출하기 불편하지 않을 정도로 붓기가 빠집니다.
수술교정 증례
SURGERY ORTHODONTICS
개방교합을 동반한 주걱턱 증례
상악 첫번째 작은 어금니 발치후
하악 수술로 주걱턱 치료
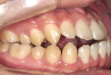
- 2018.01.10

치료전
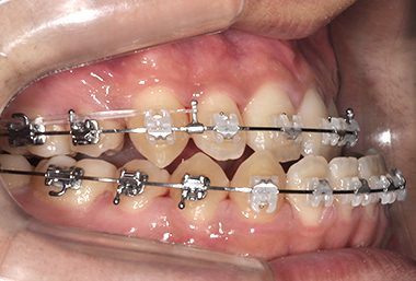
- 2018.12.28

수술 전 교정
- 2019.05.24

수술 후 교정
- 2019.11.29

치료종료
gummy smile과 긴얼굴을 동반한 개방교합 증례
비발치로 술전교정후 양악수술로
긴얼굴과 gummy smile 및 개방교합 개선
- 2015.06.29

치료전
- 2016.01.08

수술 전 교정
- 2016.03.15

수술 후 교정
- 2016.11.29

치료종료
심한 주걱턱 증례
비발치로 술전교정후 양악수술로 주걱턱 치료
- 2015.08.19

치료전
- 2016.07.04

수술 전 교정
- 2016.08.26

수술 후 교정
- 2017.08.01

치료종료