NATURAL RETRACTION
돌출입 No! 합죽이 No!
자연스러운 입술라인이
얼굴을 아름답게 만듭니다.
서울나란이치과의 돌출입 교정은 자연스러운 옆모습을 추구합니다.
얼굴과학에 근거한 진단, 지속적인 앞니각도 평가 및 조절,
미니스크류를 사용한 고정원 조절을 통해 입술이 너무 들어가지 않도록 하고
자연스럽고 아름다운 입술위치로 돌출입을 치료합니다.
NATURAL RETRACTION
치료계획 수립 시 얼굴과학에 근거하여 입술위치를 평가한 후 앞니의 이상적인 각도와 위치를 설정합니다.
이를 바탕으로 발치할 치아, 치아이동량, 힘의 방향을 결정하고 치료합니다.

NATURAL RETRACTION
사람마다 골밀도, 치아 길이, 잇몸뼈 높이 등 생물학적인 환경이 다르기 때문에 교정치료 시
동일한 힘을 적용하더라도 치아이동량과 각도변화는 모두 다를 수 밖에 없습니다.
따라서 치료 도중 임상검사, 사진촬영, 엑스레이 촬영 등을 통해 입술 위치, 앞니 각도에 대한 지속적인 평가가 필요합니다.

치료전

치료중 1

치료중 2

치료종료

치료전

발치공간 폐쇄 중

마무리 과정

치료종료
NATURAL RETRACTION
치아가 뻐드러지거나 옥니가 되지 않도록 다양한 방법을 통해 앞니의 각도를 조절합니다.
| U1 | Low Tq | Medium Tq | High Tq |
|---|---|---|---|
| Torque | 0도 | 12도 | 1 7도 |
앞니각도의 유지가 필요한 경우에는 힘을 저항중심이 지나도록 적용하여 치아뿌리도 같이 이동시킵니다.
루프가 포함된 교정와이어를 사용하여
약하고 지속적인 힘을 치아에 전달합니다.
교정와이어에 부가적인 토크를 직접 부여하여
앞니의 각도를 조절합니다.
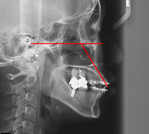
NATURAL RETRACTION
교정용 미니스크류를 사용하여 고정원을 조절합니다.
더이상 입이 들어가야 하지 않는 경우라면
치열 전방에 미니스크류를 식립하여 어금니를 전방으로 이동시킵니다.
반대로 입을 많이 넣어야 되는 경우라면
치열 후방에 미니스크류를 식립하여 앞니의 후방이동량을 증가시킵니다.

치료전

발치공간 폐쇄 중

아래 어금니 전방이동

치료종료

치료전

상악 미니스크류 식립

발치공간 폐쇄

치료종료